Adult Deformities
The treatment of deformities in advanced age has undergone rapid development in recent years. New scientific findings as well as modern implants nowadays allow a significant increase in the quality of life even at an advanced age and in the case of severe deformities. Especially the so-called sagittal (lateral) deformities lead to severe discomfort. Patients often report a feeling of being pushed forward as well as diffuse, muscle ache-like pain in the legs. Even in cases of persistent pain after spinal surgery has been performed, in some cases a sagittal deformity is the actual cause of the discomfort. The Orthopedic Clinic specializes in such cases and regularly treats patients with deformities at an advanced age.


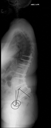
X-ray image before and after surgery. The patient underwent spinal surgery at another hospital and increasingly developed other complaints. The X-ray showed a complete loss of the hollow back and a resulting change in balance. A so-called lordosis operation led to a restoration of a normal hollow back and thus a normal spinal balance and finally to regressive complaints.
